Case Sharing | Biodegradable ASD Closure Under TTE-Only Guidance in Anomalous Coronary Patient
-
2025-08-11
-
LEPU
At Fuwai Hospital Shenzhen, Dr. Lu Yaoxing's team recently performed a successful transcatheter closure of a secundum atrial septal defect (ASD) using a MemoSorb biodegradable occluder in a 34-year-old male patient with a rare coronary anomaly.
Key info about the case:
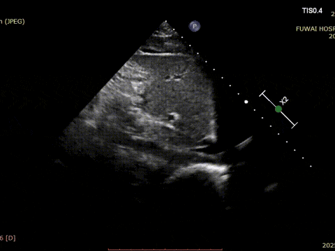
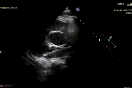
1. The ASD was central in location, with a measured diameter of approximately 8.1 mm (bicaval view) and 8.2 mm (aortic short-axis view).
2. Coronary CTA revealed an anomalous origin of the left circumflex artery (LCX) from the right coronary sinus, with a course between the aorta and left atrium.
3. The distance between the ASD and the aberrant LCX was only about 6 mm.
4. There was no aortic rim, and the inferior and posterior rims were relatively soft.
Given the proximity of the defect to the coronary artery, a traditional metal occluder posed a risk of compression, especially during physical exertion. A biodegradable ASD occluder (BDASD-I 18 mm) was therefore selected for its flexibility, lower risk of long-term mechanical injury, and ability to degrade into carbon dioxide and water after completing the closure function.
The procedure was guided by TTE following the PAN procedure developed at Fuwai Hospital. This radiation-free, real-time imaging technique offers high-resolution anatomical visualization, ensuring accurate device placement and minimizing complications—particularly valuable in young, reproductive-age patients.
1-day postoperative TTE revealed that the occluder is in good shape without residual shunt (see last figure).
Contact us>>marketing@lepu-medical.com
Visit lepumedical website for more >>en.lepumedical.com



