Ev>Haberler
2 yıllık takip | biyobozunur asd occluder memosorb
-
2025-08-11
-
LEPU
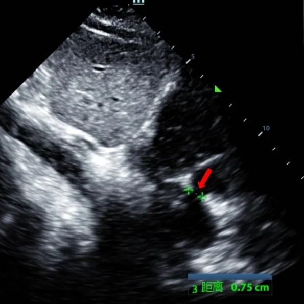
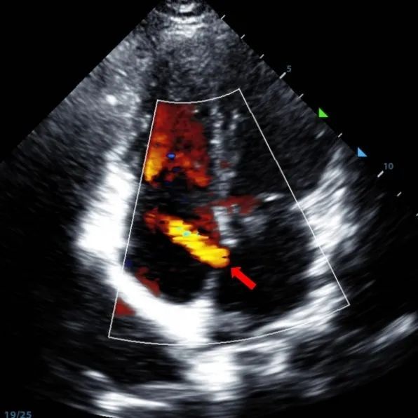
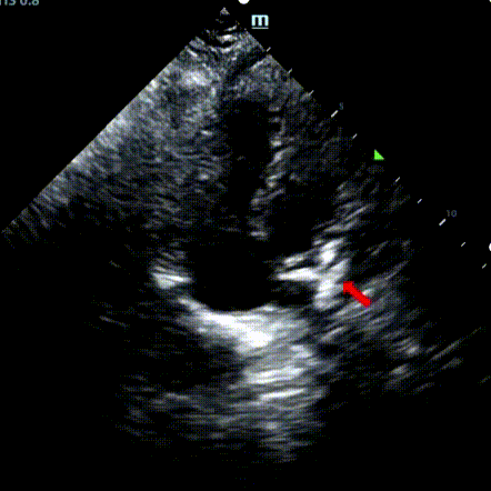
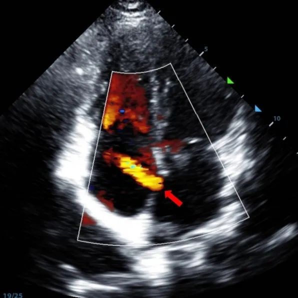
Secundum asd (7.5-7.9mm) ile 9 yaşındaki bir erkek, memosorb BDASD-I 12mm occluder ve 12f dağıtım sistemi kullanılarak tedavi edildi. Komplikasyonlar veya komorbiditeler ön prosedür olarak belirtilmedi.
Serial echocardiographic follow-ups showed stable device position and favorable cardiac remodeling. Gradual degradation confirmed the occluder's long-term safety and efficacy.
Contact us>>Marketing@lepu-medical.com
Visit lepumedical website for more >>En.lepumedical.com




