Vaka paylaşımı | orta-distal üçüncü diaphyseal humerus kırığı
-
2025-05-12
-
LEPU
Prosedür: orto-köprü sistemi ile anterior yaklaşım yoluyla minimal invaziv perkutan plaka osteosentez (mippo)
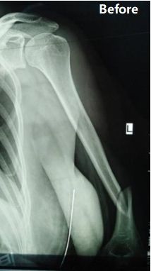
Vaka genel bakış: 48 yaşındaki bir kadın hastaya sol humeral milin orta-distalin kırılması teşhisi kondu (ao sınıflandırma: tip b1).
Cerrahi ekip, bir ortho köprü sistemi (obs) kullanarak anterior yaklaşım yoluyla minimal invaziv plaka osteosentezi (mipo) için tercih etti. Ameliyat yaklaşık 150 ml tahmini kan kaybı ve yaklaşık 8 cm insizyon uzunluğu ile 90 dakika içinde başarıyla tamamlandı.
Postoperatif olarak harici fiksasyon gerekmedi ve hasta sertliği ve eklem yapışmalarını önlemek için ertesi gün dirsek eklemi seferberliğine başladı.
Obs'nin avantajları:
1. esnek konfigürasyon-çeşitli klinik ihtiyaçları karşılamak için kolayca özelleştirilebilir.
2. minimal invaziv-daha hızlı iyileşme için cerrahi travmayı azaltır.
3. Safe & Reliable – Ensures secure fixation with high mechanical stability.
4. çoklu uygulama-farklı vücut parçalarında kullanım için tasarlanmıştır.
Contact us>>Marketing@lepu-medical.com
Visit lepumedical website for more >>En.lepumedical.com




