Vaka paylaşımı | biyobozunur occluder memosorb ile uzun tünel pfo kapatma
-
2025-04-28
-
LEPU
30-Year Migraine Relief & 1-Year Follow-Up: Long-Tunnel PFO Closure with MemoSorb Biodegradable Occluder
Today, we share a remarkable case highlighting 1-year post-op outcomes of MemoSorb in treating a complex long-tunnel PFO (12mm length, 1.4mm width), with a focus on serial echocardiographic evidence of device degradation and clinical symptom resolution.
Vaka vurguları
Hasta profili: 53f, 30 yıllık migren tarihi (genellikle tek taraflı, günlerce süren saatler), 2 sinkopal bölüm.
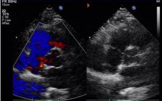
Tanı: pozitif kabarcık çalışması.
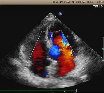
Implant: 2424 memosorb®Eko ve dsa rehberliği altında konuşlandırılan biyobozunur pfo occluder.
Anahtar takip görüntüleme bulguları
Gün 1 ila 9 ay:
Artık şant gözlenmedi.
Cihaz ekojenikliğinde kademeli azalma.
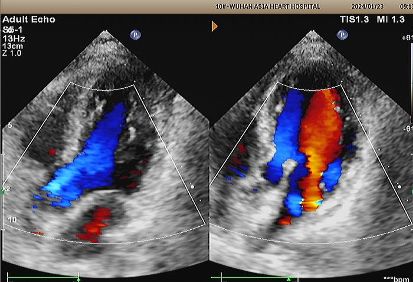
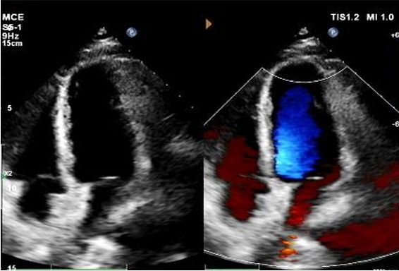
1 yıllık eko:
No visible disc structures – replaced by 8mm tissue thickening at the septal implant site.
Zero residual shunt (rest or post-Valsalva).
Komple cihaz emilimi onaylandı.
Klinik sonuçlar:
1. Migraine frequency/severity significantly reduced post-implant.
2. No recurrence of syncope or neurological symptoms.
3. Patient-reported improved quality of life.
Contact us>>Marketing@lepu-medical.com
Visit lepumedical website for more >>En.lepumedical.com




