Ev>Haberler
Vaka paylaşımı | cli thorchronic ivl ile tedavi edilen kronik tıkanıklık
-
2025-06-06
-
LEPU
Klinik durum spot: cli kronik oklüzyon thorthorivl ile tedavi
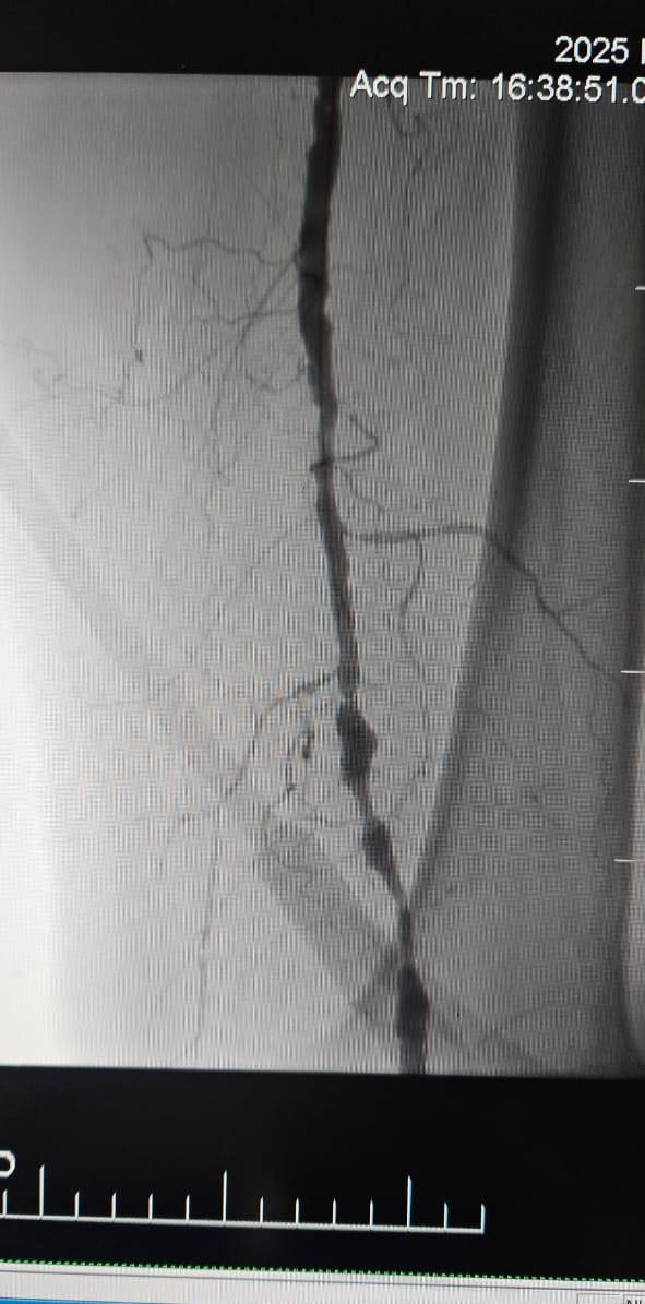
Alt ekstremite arterinin kronik toplam tıkanıklığının neden olduğu kritik uzuv iskemi (cli) olan 78 yaşındaki bir kadın hastanın torçatlak periferik ivl balon dilatasyon kateter sistemi ile tedaviyi takiben dikkat çekici bir klinik iyileşme gösterdiği batum, gürcistan'daki bir hastaneden başarılı bir davayı paylaşmaktan memnuniyet duyuyoruz.
Thorcrack periferik ivl balon dilatasyon kateter hakkında
Torçatlak periferik ivl balon dilatasyon kateteri, kalsifiye stenozların (50% % 50) lezyon hazırlığı ve balon dilatasyonu için özel olarak tasarlanmıştır: iliac arter, femoral arter, iliofemoral arter, popliteal arter, renal arter, infrapopliteal arterler (diz altı)
Anahtar özellikler:
Maksimum ivl darbeleri: 300
Döngü için ivl darbeleri: 30 (10 döngü)
Balon çapları (mm): 3.0 / 3.5 / 4.0 / 4.5 / 5.0 / 5.5 / 6.0 / 6.5 / 7.0
Balon uzunlukları (mm): 40 / 60
Compatible guidewire: 0.014"
Bu durum, uzun segmentli kronik tıkanıklığa sahip karmaşık cli vakalarının tedavisinde intravasküler litotripsinin (ivl) klinik değerinin altını çizmektedir-özellikle geleneksel balonların veya atherektomi cihazlarının sınırlı etkinliğe sahip olduğu ağır kalsifikasyon olan hastalarda.
Thor. ivl, kalsifiye lezyonların üstesinden gelmek, perfüzyonu geri kazanmak ve karmaşık periferik arteriyel hastalıkta hasta sonuçlarını iyileştirmek için dünyanın dört bir yanındaki doktorları güçlendirdiğini görmekten gurur duyuyoruz.
Contact us>>Marketing@lepu-medical.com
Visit lepumedical website for more >>En.lepumedical.com



